11th December, NIA Diagnostic Imaging

Gallstones are commonly encountered in clinical practice, with a prevalence of approximately 10-15% in adults. They represent one of the most frequent causes of gastrointestinal dysfunction worldwide, contributing to both chronic and episodic pain syndromes (Jones et al., 2025). While many cases remain asymptomatic, gallstones can lead to significant morbidity when complications arise, making timely diagnosis essential for effective management.
What are gallstones?
Gallstones are crystallised concretions that form within the gallbladder from components of bile which are primarily cholesterol, bilirubin and calcium salts. They result from impaired gallbladder contractility, bile stasis
and excess cholesterol or bile salts (Jones et al., 2025).
What are the symptoms and risk factors?
Patients with gallstones may remain asymptomatic and only detected incidentally during imaging procedures. When symptomatic, the classic presentation is biliary colic, resulting from transient obstruction of the cystic duct.
Symptoms
● Intermittent right upper quadrant or epigastric pain, often triggered by fatty or greasy meals
● Nausea and vomiting
● Abdominal bloating
Risk factors
● Female sex
● Middle age (40–60 years)
● Obesity or rapid weight loss
● Pregnancy or oestrogen therapy
● Hyperlipidaemia
● Diabetes mellitus
● Family history of gallstones
(Jones et al., 2025)
What are the complications?
Untreated gallstones can cause a variety of complications due to obstruction, inflammation or infection of the biliary system. Prompt diagnosis is critical in preventing severe outcomes.
● Biliary colic
● Acute cholecystitis
● Choledocholithiasis
● Acute cholangitis
● Gallstone pancreatitis
(Evanson et al., 2025; Jones et al., 2025).
What is the role of ultrasound?
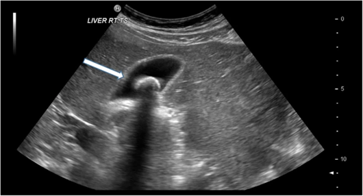
Ultrasound is the first-line imaging modality for the evaluation of suspected gallstones and biliary pathology. It is a useful imaging procedure for the detection of gallstones and evaluation of its mobility. On ultrasound, gallstones are characteristically echogenic and demonstrate posterior acoustic shadowing as seen in Figure 1 (Murphy et al., 2020). The ultrasound procedure also enables dynamic examination of gallstones where mobile stones will collect in the gallbladder’s dependent portion while impacted stones remain static (Evanson et al., 2025).
Advantages of ultrasound
- Safe
- Non-invasive
- No ionising radiation
- Readily available
- Enable dynamic real-time imaging

Figure 1: Ultrasound image of the gallbladder with a gallstone, demonstrating the typical appearance of echogenic structure with posterior acoustic shadowing (arrow) (Murphy et al., 2020)
What is the treatment? Prompt diagnosis and treatment and management are critical to prevent severe outcomes. For symptomatic cases, laparoscopic cholecystectomy is standard treatment for recurrent or complicated gallstone disease which involves removal of the gallbladder (Jones et al., 2025).
At NIA Diagnostic Imaging, we perform comprehensive upper abdominal ultrasound examinations for patients with suspected gallstones or biliary pathology. Prompt and accurate ultrasound diagnosis facilitates timely referral and surgical management, improving patient outcomes.
References
Evanson DJ, Elcic L, Uyeda JW and Zufiqar M (2025) ‘Imaging of gallstones and complications’, Current problems in diagnostic radiology, 54(3): 392-403. https://doi.org/10.1067/j.cpradiol.2024.12.007
Jones MW, Weir CB and Marietta M (2025) Gallstones (cholelithiasis), StatPearls, accessed 14 October 2025, https://www.ncbi.nlm.nih.gov/books/NBK459370/
Murphy MC, Gibney B, Gillespie C, Hynes J and Bolster F (2020) ‘Gallstones top to toe: what the radiologist needs to know’, Insights into Imaging, 11(13). https://doi.org/10.1186/s13244-019-0825- 4
